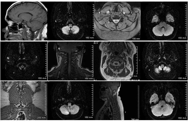
Went into the narrow tube of magnetic fields (great band) today for another look-see of my innards. I feel like the Alan Shepard of MRIs by now, I’ve logged so much time.

It’s gotten somewhat easier, although I always have that last-second panicked breathing before I’m guided into the machine. I’ve found if I close my eyes from the get-go and never open them, I do OK.
Oh, but the constant cacophonous bleats and blurts. I pretend Steve Reich has gone electronic and choreograph little dance in my head. I try to find patterns in the noise. I try to think of lists of things, and then I try to empty my mind of all thought.
Essentially, I do what I can to distract myself from the fact that here I am stuffed in a tube and what if a metal object gets sucked in and cuts my side open and how will they clean out my guts and what if there are guts in here from the last person – you get the idea.
So it’s no surprise that my brain is scrambled today – which is why you get no smooth segue to this next thought – a strange happenstance that is lodged in my mind and won’t break free.
Oscar-winning actress Lisa Blount died this week, found unresponsive in her bed by her mother. She grew up in Jacksonville, my hometown. We graduated from the same high school, her in the same class as my aunt. She was, by all accounts, a feisty, creative Southern woman.
And in the LRPD incident report, her mother mentioned that she had been suffering from a condition similar to multiple sclerosis for the past 17 years. For some reason, that thought haunts me.
I would have gone nuts in that thing! I am somewhat of an OCD!
I know you are! And this is a situation where you have no control whatsoever. Frightening!